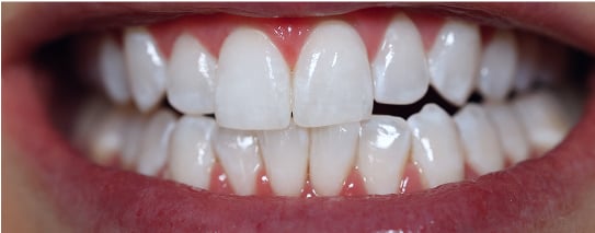
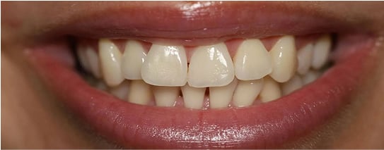
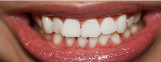
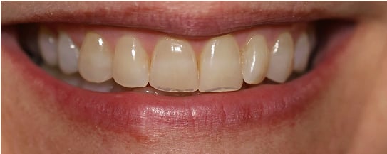
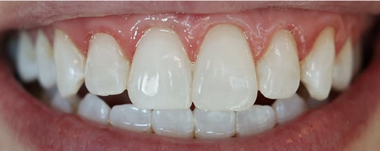
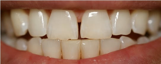
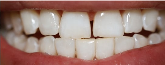
Save hundreds, smile brighter.
Choose a personalized care plan to reach your smile goals — with transparent pricing and real results. Ditch the strips. Our professional cleanings and fast-acting whitening treatments deliver the glow you’ve been waiting for.









